Loét miệng (hay nhiệt miệng) là một trong những triệu chứng mà ai cũng có thể gặp phải. Dù vậy, tình trạng loét miệng sẽ lành lặn chỉ sau vài ngày đến vài tuần và không để lại nhiều di chứng quá nghiêm trọng.
Tuy nhiên, nếu vết loét kéo dài quá 2 tuần và thậm chí còn âm ỉ đến hơn 1 tháng thì bạn nên đi kiểm tra ngay. Nhiều khả năng, vết loét kéo dài như vậy đang ngầm cảnh báo nguy cơ mắc bệnh ung thư miệng (ung thư lưỡi) rất cao.
Dưới đây là 4 kiểu loét miệng đáng báo động mà bạn không nên chủ quan bỏ qua.
Vết loét không rõ vị trí, nằm ẩn dưới khoang miệng
Thường thì những vết loét sẽ nằm lộ rõ ra bên ngoài với đặc điểm là bị lõm sâu, đổi màu trắng. Vậy nhưng, nếu là vết loét cảnh báo bệnh ung thư miệng thì bạn sẽ rất khó phân biệt được đâu là phần da thịt lành và đâu là phần da bị loét.
Đặc biệt, một số vết loét còn nằm sâu bên trong khoang miệng hoặc ẩn dưới da mà bạn không thể phân biệt được bằng mắt thường.
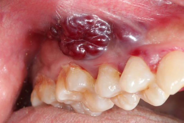
Vết loét miệng lâu lành, ngày càng to lên
Sau 1 – 4 tuần thì những vết loét miệng sẽ dần biến mất. Tuy nhiên, nếu mắc bệnh ung thư miệng thì vết loét của bạn sẽ rất lâu lành hoặc thậm chí còn chẳng có dấu hiệu nào cải thiện trong suốt hơn 1 tháng.
Ngoài ra, vết loét này cũng sẽ ngày càng lan rộng ra, gây đau nhức và nổi hằn các mạch máu rõ rệt hơn.
Vừa loét miệng, vừa đau không rõ nguyên nhân ở những vùng khác
Không chỉ bị viêm loét trên môi hay lưỡi, một số người mắc bệnh ung thư miệng còn gặp phải tình trạng đau rát ở khu vực má, răng… Kể cả khi bạn đã dùng tới thuốc giảm đau nhưng cơn đau vẫn chẳng hề thuyên giảm.
Nếu cùng lúc gặp phải hai dấu hiệu này, bạn nên nhanh chóng đi khám vì nguy cơ mắc bệnh ung thư miệng là rất cao.
Cơn đau giảm dần, phần loét bị cứng lại
Khi ung thư miệng bắt đầu phát tán thì cơn đau do loét miệng sẽ giảm dần và có thể còn biến mất hoàn toàn. Nhưng theo đó, phần loét vẫn sẽ hiện rõ và khi bạn sờ vào sẽ thấy nó cứng lại.
Do đó, ngay khi thấy vết loét không còn đau, cứng nữa thì bạn nên chủ động đi khám vì nguy cơ ung thư miệng có thể đang rình rập.
Phân biệt giữa nhiệt miệng và ung thư lưỡi:
Để tránh rơi vào tình trạng nhầm lẫn giữa ung thư miệng (ung thư lưỡi) và loét miệng (nhiệt miệng), các bạn hãy chú ý kỹ đến sự khác nhau giữa hai bệnh này để có thể phát hiện và xử lý kịp thời:
Source (Nguồn): QQ
Nguồn kenh14.vn
