Đó là trường hợp của bé trai B.Đ.N.N. (2 tuổi, ngụ huyện Bình Chánh, TP.HCM).
Theo lời kể của cô giáo trông trẻ, khoảng 11h20 trưa ngày 26/10, bé N. có ngậm mặt dây chuyền trong khoảng 10 phút. Mãi đến khi nghe bé la, khóc không ngừng, liên tục chỉ tay vô cổ và không tìm không thấy mặt dây chuyền, các cô mới hốt hoảng đưa cháu đến khám phòng khám đa khoa gần trường.
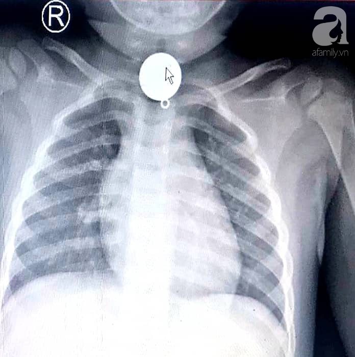
Kết quả chụp X-quang ngực phát hiện dị vật, bé được chuyển ngay đến Bệnh viện Nhi đồng Thành phố (TP.HCM).
Nhận định dị vật mắc trong cổ bé rất to, hình tròn nằm chiếm hết lòng đầu trên thực quản, các bác sĩ chẩn đoán khả năng dị vật gây trầy, rách thực quản hay hóc ngược vào đường thở rất cao nếu xử trí không khéo.

Ảnh chụp X-quang thấy rõ dị vật hình tròn nằm chiếm hết lòng đầu trên thực quản.
Ekip nội soi trực tai mũi họng quyết định tiến hành gây mê nhẹ nhàng, dùng ống soi gắp dị vật ra khỏi thực quản cho bệnh nhi. Kết quả kiểm tra cuối cùng cho thấy lòng thực quản của bé chỉ tổn thương nhẹ niêm mạc, có thể nhanh chóng bình phục và xuất viện trong nay mai.
Bác sĩ Bạch Thiên Phương, Trưởng khoa Tai Mũi Họng của BV chia sẻ, dấu hiệu nhận biết trẻ bị hóc dị vật là trẻ đột ngột ho, sặc sụa, thở hổn hển hoặc kêu không thành tiếng, không thở được, lịm dần, mắt trợn ngược, môi tái rồi tím dần…
Cấp cứu đúng cách là bước quan trọng quyết định thành công trong việc cứu trẻ bị hóc dị vật.

Dị vật sau khi lấy ra.
Qua trường hợp trên, các bác sĩ khuyến cáo phụ huynh khi trông coi con em nên cẩn thận với đồ chơi trong tay các bé.
Gia đình, nhà trẻ không để những đồ vật sắc nhọn, có kích thước nhỏ trong tầm với của trẻ em, dễ làm các bé tò mò rồi bỏ vào miệng ngậm dẫn đến hậu quả khó lường.
Các vật phẩm tiềm tàng nguy hiểm như đồ sắc nhọn và pin nhỏ cũng có thể làm rách hoặc đốt thực quản nếu trẻ nuốt phải.
Nguồn afamily.vn
